Coronavirus France EN DIRECT : La fin de l’attestation pour les déplacements du quotidien
"La vie sociale va rependre", mais progressivement. Édouard Philippe indique qu'il sera à nouveau possible de circuler librement, sans attestation, sauf pour des déplacements...
Le Pentagone déclassifie trois vidéos d’Ovnis (détail)
"Le phénomène aérien observé dans les vidéos reste qualifié de 'non identifié'", a assuré le Pentagone.
Les vidéos ont été tournées par des pilotes...
Déconfinement: de nombreux maires refusent de rouvrir les écoles (détail)
Jusqu'au 31 août ou "jusqu'à nouvel ordre", les arrêtés municipaux pour interdire la réouverture des écoles à partir du 11 mai se multiplient sur...
Coronavirus: Le moral des ménages français au plus mal
Le solde d'opinion des ménages sur le niveau de vie futur en France a connu la plus forte baisse jamais enregistrée sur un mois...
Trump dénonce la Chine pour la propagation du coronavirus (détail)
Donald Trump demande à la Chine de payer des milliards de dollars de réparations pour les dommages causés par le virus, apparu dans la...
Coronavirus: attention aux diffuseurs d’huiles essentielles, alerte l’Anses
Après avoir reçu plusieurs appels de centres antipoisons, l'Agence de sécurité sanitaire met en garde contre l'utilisation des huiles essentielles dans la lutte contre...
Coronavirus France EN DIRECT : 26 millions de masques grand public par semaine dès...
La France disposera de plus de 26 millions de masques grand public par semaine dès la fin avril, dont près la moitié produits dans...
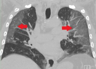
Coronavirus : Les caillots de sang causés par le Covid-19 (détail)
D'après de récentes observations de médecins aux Etats-Unis, en France et en Chine, le coronavirus provoque la formation de caillots de sang. Chez certains...
Coronavirus EN DIRECT : 437 morts en France ces dernières 24h
Dans un communiqué publié en fin de journée, la Direction générale de la Santé a fait savoir que 437 personnes contaminées par le Covid-19...
Coronavirus: Tocilizumab de Roche efficace pour les cas grave
Des débuts encourageants. C'est ainsi que les médecins de l'Assistance publique- Hôpitaux de Paris jugent les premiers résultats de l'étude menée actuellement avec le...












